重磅新法,干细胞迎来国家法规!灵赋生物以“一站式”服务,赋能干细胞临床前研究

2025年10月10日,中国国务院正式公布《生物医学新技术临床研究和临床转化应用管理条例》(国务院令第818号),并确定于2026年5月1日正式施行。
《条例》首次以行政法规形式,定义“生物医学新技术”为“作用于人体细胞、分子水平,尚未应用于临床的医学专业手段和措施”,并将干细胞技术(如干细胞治疗、类器官研究等)因涉及细胞操作、人体应用及安全性验证明确纳入监管范畴。这意味着,干细胞治疗的临床研究必须遵循全过程监管,从源头伦理与科学审查,到临床转化应用,都设置了清晰而严格的路径。这一框架不仅为行业树立了标杆,更使得经过严格验证、安全有效的干细胞治疗技术能够更快地惠及患者。。
与此同时,干细胞治疗作为一种新兴的治疗手段,在治疗糖尿病、帕金森等难治性疾病方面具有广阔的应用前景。通过规范管理,将有助于激发科研机构和企业的创新活力,加大对干细胞治疗技术的研发投入,推动我国干细胞治疗技术的不断进步和创新,提升我国在生物医学领域的国际竞争力。
灵赋生物
一站式干细胞研究服务平台
在此新规背景下,确保干细胞产品在临床前阶段获得严谨、合规、可追溯的研究数据变得至关重要。灵赋生物依托成熟的科研平台与深厚的项目经验,致力于为行业提供符合法规要求的一站式干细胞临床前研究服务。
我们已建立覆盖常见疾病的上百种动物模型,并拥有经验丰富的专业团队和严格的质量管理体系。服务涵盖早期发现与筛选阶段的干细胞分离、鉴定、功能验证(体外药效),到临床前全面评价阶段的疾病模型药效评价、药代动力学研究、安全性评价(毒理学研究)等全流程解决方案,旨在为干细胞产品的研发与最终申报提供坚实的数据支持。


相关案例
目前,我们已成功服务了多家干细胞领域的知名企业与机构,积累了丰富的实战经验。我们期许能够与您携手,借助我们扎实的临床前研究能力,共同应对新规下的挑战与机遇,加速您干细胞项目的研究与产业化进程。
案例一:干细胞治疗红斑狼疮小鼠
1.红斑狼疮模型小鼠(MRL/Ipr)表型特征
-
免疫系统表型:淋巴细胞增生:脾和淋巴结肿大,3 - 6 月龄时增重 2 - 3 倍。自身抗体:抗dsDNA 抗体,6 月龄时滴度≥1:1000(ELISA 检测)。
-
狼疮肾炎:蛋白尿:≥300 mg/dL(尿蛋白试纸检测)。肾小球免疫复合物沉积:IgG/IgM 荧光染色可见沉积。
-
皮肤病变:面部 / 耳部红斑:肉眼可见。组织学表现:表皮萎缩,淋巴细胞浸润。
-
关节炎症:滑膜增生:踝关节 HE 染色评分可评估炎症程度。
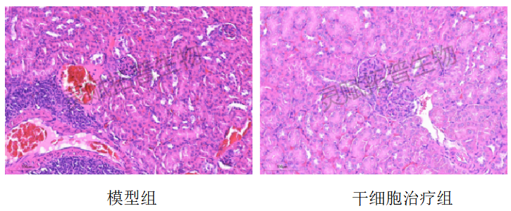
2.肾脏病理分析

模型组肾组织整体结构紊乱。部分肾小球体积增大,系膜细胞和基质增生,炎症反应剧烈,影响肾功能。治疗组肾组织结构较模型组有明显改善,趋于规则。肾小球病变程度减轻,系膜细胞和基质增生有所缓解,炎细胞浸润数量明显减少,炎症反应得到控制,肾组织功能逐步恢复。此外通过流式检测免疫细胞,进一步证实干细胞对自身免疫的调节修复作用。
案例二:干细胞干预治疗大鼠卵巢早衰模型
1.大鼠卵巢早衰(POF)模型的构建与评价:环磷酰胺法
-
POF的临床挑战
卵巢早衰(POF)指40岁前卵巢功能衰竭,影响生育与内分泌健康。
动物模型是研究POF机制与治疗策略的重要工具。
-
模型选择依据
环磷酰胺法优势:快速诱导卵巢功能衰竭,模拟化疗相关性POF。
2.模型机理
-
POF的核心病理机制
卵泡耗竭:环磷酰胺诱导卵母细胞凋亡,减少原始卵泡储备。
氧化应激:环磷酰胺代谢产物(如丙烯醛)增加ROS水平,损伤卵巢颗粒细胞。
激素失衡:FSH升高,E2降低,模拟POF内分泌特征。
-
环磷酰胺的作用机制
DNA损伤:环磷酰胺代谢产物与DNA交联,诱导细胞凋亡。
免疫抑制:抑制卵巢局部免疫微环境,加剧炎症反应。


A.正常对照组,B.模型对照组,C.干细胞治疗组
与正常对照组相比,在模型组和干细胞治疗组中原始卵泡数量、初级卵泡数量、次级卵泡数量、成熟卵泡数量无显著差异;与正常对照组相比,在模型组中闭锁卵泡数显著上升;其他卵泡数无显著差异。与模型组相比,干细胞治疗组中闭锁卵泡数显著下降。提示干细胞治疗后,闭锁卵泡数显著下降。
灵赋可依据客户具体需求,提供定制化的实验设计与全程专业技术服务,欢迎垂询合作。
期待与您的合作
电话: 18600105361
邮箱: info@life-biosciences.com
灵赋生物竭诚为您服务~
关于灵赋生物
北京灵赋生物科技有限公司(简称“灵赋生物”)成立于2021年,致力于构建国际一流的模式动物与创新药物器械研发技术服务平台,赋能生命科学和生物医药研究。
目前公司已建立了全国布局的自有高标准中大型实验动物资源产业链,在京津冀、长三角、大湾区拥有多个实验设施和饲养SPF级动物的屏障设施,拥有实验动物生产许可证、使用许可证等完善的资质认证,并通过了AAALAC国际认可及CNAS认可。
点击前往集团成员官微





